
被人推崇的尖下巴和窄脸实际上并不是好事,因为过窄的颌骨不但使人牙齿歪斜,还容易造成呼吸不畅,从而降低睡眠质量,使人成绩变差,引发行为和情绪障碍。不幸的是,由于能够进食柔软的食物,3百多万年来人类的下巴一直在变小。
参考资料 Jaws: The Story of a Hidden Epidemic 等
编译 七君
Lindsey Hanes 的5岁儿子 Micah 最近很奇怪,他突然变得不听话,也不愿意和小朋友玩。作为护士的 Hanes 坚信儿子的问题的根源在于睡眠剥夺——经常睡不饱。晚上,儿子会打呼,经常翻来翻去,醒来的时候眼袋很大。
4岁的时候,Micah 就做过一次睡眠诊断,当时的诊断结果是他患有睡眠呼吸暂停症,他晚上睡不好就是呼吸道堵塞导致的。医生切除了Micah 的扁桃体和腺样体。手术似乎效果不错,Micah 的耳道里不再有积液。可是一年后,他又开始睡觉打呼,这说明他的呼吸道还是有问题。
第二次睡眠诊断后,耳鼻喉科大夫排除了睡眠呼吸暂停症的可能性。但是耳鼻喉科的医生也不知道孩子出了什么问题。
四处求医问药后,Hanes 在宾夕法尼亚大学考古学及人类学博物馆的儿童牙科学家 Kevin Boyd 这里得到了答案。
原来,孩子的睡眠问题,还有臭脾气,和他的头骨有关。

用330万年得到的V脸和烂牙
人类学家注意到,人类的下巴和嘴巴变小的倾向持续了330万年,因为人类使用工具的历史就有这么长。俄亥俄州立大学的人类学家 Clark Larsen 曾说:“人类从狩猎采集过渡到农业文明后,脸和下巴的大小急剧缩水。”

狩猎采集者(左)和现代工业文明的人类头骨(右)对比
@Kevin Boyd
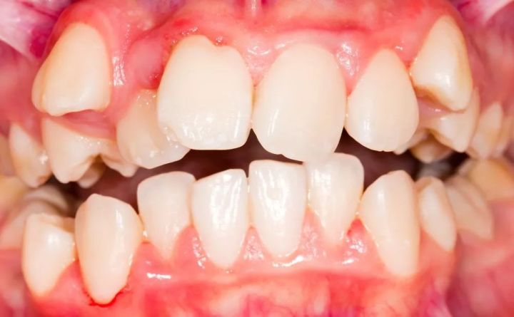
下巴变小的后果,就是歪歪斜斜、无处安放的牙齿。正如糖尿病、肥胖症一样,错颌畸形(上下颚和牙齿对不齐,如龅牙)也是一种人类特有的现代病。工业文明则进一步挤压了人类的下巴和牙齿的生存空间,现在全世界大约有20-60%的青少年患有不同程度的错颌畸形。

哈佛大学的演化生物学家 Daniel Lieberman 曾在《从丛林到文明,人体的演化和疾病的产生》(Jaws: The Story of a Hidden Epidemic)一书中指出,在他工作的博物馆有来自全世界的古代人类头骨,但是最近几百年的人类头骨会让牙医大倒胃口,因为上面都是龋齿和感染的痕迹,而且牙齿很不整齐,拥挤地塞在颌骨里。

他说,在工业文明之前的头骨虽然也有溃疡和龋齿,但是智齿是整齐的,不是阻生智齿(就是长不出来的那种智齿)。与此相对,狩猎采集的人类的牙齿几乎完美,石器时代不需要牙齿整形医生。
斯坦福大学古生物学家,专门研究人类化石的 Richard Klein 也赞同这个观点:“我从没见过狩猎采集者的牙齿不齐。”

250年前的人类有完美的咬合
@Jonah Rosenberg
直到现在,你依然可以观察到工业文明对牙齿的影响。
阿肯色大学的杰出人类学教授 Peter Ungar 表示,来到坦桑尼亚见到非洲狩猎民族Hadza 人时,你首先注意到的是他们排列整齐的牙齿,而且数量很多;他们有20颗后牙,咬合整齐,而工业文明的人类一般只有16颗,而且常常无法完美咬合。

坦桑尼亚非洲狩猎民族 Hadza 人
柔软的食物和短脸
为什么下巴和脸能随着工业文明变小,但是牙齿不能一起变小呢?
2001年发表在 Heredity 上的一项研究显示,牙齿(牙冠)的大小主要由遗传决定(如加性遗传方差大于80%),无法随着后天口腔环境的变化而灵活地改变形状;但是颌骨却能随着环境变化。
如果颌骨需要经常用力,尤其是在人小的时候,那么它就会长得比较宽比较长,而牙齿也会因为有足够的空间生长而变得整齐。

舌头无法顶住口腔顶部,上排牙齿可能会变得不齐。
@myobrace
首先注意到这一点的也是达尔文。
在《人类的由来》(The Descent of Man)这本书里,他曾写道:“文明人的下巴比非工业文明的野蛮人更短。这可能是因为文明人经常吃柔软的熟食,所以不怎么使用上下颚。Brace 先生(美国慈善家 Charles Loring Brace)说,现在美国人经常摘除孩子的臼齿,因为它们没有地方长。”
后人的研究证实了达尔文的看法。上面提到的哈佛大学的演化生物学家 Daniel Lieberman 曾在2004年发表了一个非常经典的实验。

蹄兔
在实验中,一些蹄兔被喂了柔软的熟食,而另一些被喂了粗糙的生食。喂了98天后,咀嚼粗糙坚硬的生食的蹄兔的颌骨发育得更好。Lieberman 认为,人类进食精加工的熟食,颌骨也会发生类似的变化。
南伊利诺伊大学的人类学家 Robert Corruccini 也在现代人身上观察到了饮食习惯对人类脸型起到的巨大的塑造作用。
他曾对印度南部昌迪加尔附近的城里人和村里人的牙齿进行比较。那里的城里人吃的是柔软的面包、小扁豆泥,村里人吃的是粗糙的小米和蔬菜。他发现城里人的颌骨就比村里人要短小。
他还对亚利桑那州的皮马印第安人做过类似的研究。在当地开设了食品加工厂之后,只用了一代人的时间,皮马印第安人的颌骨就变短变小了。
可见,在人类演化的大部分历史中,人类吃的是更粗糙的食物,牙齿期待着更长更宽大的颌骨来配合它。
Ehrlich 表示,根据饮食习惯和脸型的关系,甚至可以判定100多年前的人类个体属于富裕阶层,还是贫困阶层。因为富裕阶层的颌骨更窄小,上颚更窄,呼吸道更局促。
从当时的肖像画中也可以看出这一点,富裕阶层的鼻子往下拉,下巴则后缩,这是狭窄的上颚导致的,类似于我们马上要讲到的口呼吸面型。

第一代威灵顿公爵的突出的“罗马式”鼻子被认为是上层阶级的标志。实际上,下巴和牙齿后缩是鼻子突出的原因。这是过于柔软的食物导致的。
@Kahn, Sandra, Paul R. Ehrlich
嘴巴太窄,会变丑
许多研究发现,过窄的颌骨可能会导致呼吸问题,诱发儿童用嘴巴呼吸,从而导致头骨走样,形成口呼吸面型。


颌骨的正常发育(上)和口呼吸面形(下)
@myobrace
在斯坦福大学出版的 Jaws: The Story of a Hidden Epidemic 这本书中,斯坦福大学生物学家 Paul R. Ehrlich 指出,在正常发育的情况下,舌头能沿着口腔顶部移动。但如果一个孩子的上颚过窄,他们的舌头就不能顶住口腔顶部,而会埋在下排牙齿之间,导致孩子容易用嘴巴呼吸。

这个男孩养了沙鼠之后对宠物过敏,因此不得不张嘴呼吸,而张嘴呼吸使他的下巴后缩。
@Dr. John Mew
而经常用嘴呼吸的儿童脸会变长,下巴会往后缩,鼻子会变塌,鼻孔变小,上唇变薄,下唇突出,产生典型的口呼吸面型。
许多研究证实了这一点。如2015年发表在 BMJ Open 上的一项研究对4784名15岁英国儿童的面部形态以及睡眠呼吸障碍进行了追踪研究。该研究发现,睡眠障碍的儿童常常有一张长脸,鼻子不挺,下巴后缩。

父子俩(左和中)都用嘴巴呼吸,而且都患有哮喘,都会打鼾,因此面部类似。儿子(右)接受了口腔正畸,并且哮喘和打鼾治愈后,面部恢复了正常。
@John Mew

这个10岁小女孩的覆咬合比较厉害(左),上下排牙间距右14毫米。接受了正畸后,她在16岁(中)和20岁(右)时的面部形态变化。
@John Mew
嘴巴太窄,可能会变蠢
过窄的颌骨容易造成打鼾和睡眠呼吸暂停,而呼吸睡眠障碍对儿童的智力发展有不利影响。

睡眠呼吸暂停时舌头的位置
@mayo clinic
Ungar 解释道,牙齿拥挤歪斜并不是变小的颌骨带来的唯一问题,窄小的颌骨也会造成睡眠呼吸暂停,因为舌头无法顶住窄小的口腔顶部,因此更容易在睡觉的时候往后堵住喉咙。
人类意识到呼吸道阻塞影响儿童睡眠,不过短短40年时间,因为在1976年才有第一例呼吸道阻塞导致的儿童呼吸睡眠暂停病例。

而 Ehrlich 则提出,打鼾也是现代人过窄的颌骨及呼吸道的恶果,因为很难想象鼾声如雷的史前人类不会惊动附近的食肉动物。确实,现在儿童打鼾的发生率挺高。芝加哥大学的儿科学家 David Gozal 估计,大约7-13%的学龄前儿童打鼾。
然而,睡眠呼吸暂停、打鼾等睡眠呼吸问题对儿童大脑发育的影响是巨大的。2015年发表于《儿科学》(Pediatrics)的一项综述性研究指出,有睡眠呼吸问题的儿童平均成绩比同龄人低12%。

睡眠呼吸障碍还和多动症等行为和情绪问题有关。纽约大学的儿科学主任 Sanjeev Kothare 表示:“大约2/3的多动症儿童有睡眠呼吸障碍。”他还指出,“25-40%的儿童睡眠不足”。
耶鲁大学医学院的教授 Karen Bonuck 也有类似的发现。在2012年发表在《儿科学》(Pediatrics)上的一篇论文中,她和同事对英国1.1万名儿童进行了跟踪研究。他们发现那些习惯用嘴巴呼吸、打鼾,或者有睡眠呼吸暂停的婴儿和幼童在4-7岁时更有可能出现行为问题,包括多动症、行为不端、和同龄人相处困难,以及情绪问题。
Bonuck 表示,在2-5岁的儿童里,差不多有一半有睡眠问题,比如入睡困难、睡眠不足、睡眠呼吸问题,或是睡眠中止。她认为口腔问题通过影响睡眠而拖累儿童的情绪控制和认知能力:“儿童睡不好的时候,不但情绪乖戾,他们的语言表达也会受损。睡得好的孩子脾气好了,也更健康了。”
家长知道儿童的睡眠很重要,但是他们往往不清楚牙弓(牙齿形成的半月形状)对睡眠的影响。Bonuck 表示,好的睡眠的前提是,牙弓宽,舌头能顶在上颚上,下颚要够长。

芝加哥 Lourie 儿童医院(Lourie’s Children’s Hospital)的睡眠学家 Stephen Sheldon 则强调:“家长通常不知道孩子有睡眠问题,因为他们不觉得打鼾是什么大事儿。但是打鼾对儿童的成长有很大的影响。即使是打鼾也会对神经元和认知产生不良作用。每个儿科医生都应该检查儿童是否睡觉打鼾。”

回到 Micah 的故事。
后来,Boyd 扩大了 Micah 的上颚。这种正畸方法能够增加孩子的呼吸道的宽度,让孩子能更好呼吸。接着,Micah 还接受了舌头训练,医师让他在呼吸时尽量用舌头顶住上颚。
在睡觉的时候,为了始终用鼻子呼吸,Micah 还要佩戴一种能够把下巴往前拉的装置。妈妈说,矫正了一个月不到,他的睡眠和行为问题就得到了很大的改善,“他做回了他自己。如果我们等到他10岁再做正畸,他可能就会得抑郁症了”。

一个儿童在接受宾夕法尼亚大学儿童牙科学家 Kevin Boyd 的3D X光口腔建模。
@Lyndon French
医生说我成绩不好,不能吃软饭。

来源: 把科学带回家
科普中国公众号
科普中国微博

帮助
把科学带回家